断断续续使用simpleitk处理CT和X光图片有些时间了,但是学的知识都比较零散,没有形成系统的概念,于是对着SimpleITK的英文文档https://simpleitk.readthedocs.io/en/master/index.html学习一遍,再结合自己的一点经验,做一点总结。
SimpleITK是ITK的简化接口,使用起来更加方便,有多种语言接口,我平时用的都是python版,安装比较简单,pip install SimpleITK即可
SimpleITK是专门处理医学影像的软件,在SimpleITK中,图像的概念与我们在计算机视觉中常用的RGB图像差异很大,后者只是一个多维矩阵,是一个数学上的概念,而在SimpleITK中,图像是一种物理实体,图像中的每一个像素都是物理空间中的一个点,不光有着像素值,还有着坐标,间距,方向等概念
下图是一个直观的解释

size:图像在各维度的像素个数
spacing:图像各维度上像素之间的距离(物理层面的,有单位,一般为mm)
physical extent:图像在物理空间中的大小
Origin:图像原点的坐标(物理层面的,有单位,一般为mm,与spacing保持一致)
direction:采用方向余弦矩阵,也就是图像自身坐标系相对于世界坐标系(固定不动的)的角度,再直白点就是新坐标系在原坐标系上各个方向的投影,百度百科https://baike.baidu.com/item/方向余弦
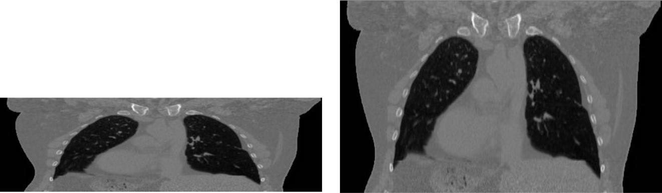
为了强调此处的图像不仅仅是一个数字组成的矩阵,用图说话

两幅图的内容能看出来是一样的,但是像素间距不同
再看

两幅图内容一样,但是方向和坐标原点都不同,在SimpleITK中是不同的图像
来源:oschina
链接:https://my.oschina.net/u/4396273/blog/3621957