一、任务分析
肿瘤分割任务由于个体间形状、纹理等差异大,从而实现更加困难。本文就来分析一下,肿瘤分割任务。
在传统医学诊断中,专家的判断几乎是一个决定性的考量因素。即使在深度学习和人工智能快速发展的今天,医学诊断问题上,依然严重依赖于医生的判断。然而,这种依赖存在一定的问题,比如耗时长,比如在高强度的重复工作条件下医生所出现的疲劳和由此引发的失误。
因此,人们开展了越来越多的尝试,希望通过深度学习来实现某些医学诊断。其中一个很重要的应用就是肿瘤的分割。尽管在某些条件和情况下,深度学习的诊断效果非常好,但是这些方法仍然严重受限于数据库、范化性、精度等问题。
不同于医学领域中的器官类分割,不同肿瘤的形状、纹理千差万别,很难通过直接匹配的方式找到它们之间存在的共性。因此,想要利用器官类分割的方法来区分肿瘤,是非常困难的。
本文我们来分析一下,医学领域的肿瘤分割有哪些问题,并给出应用范例。
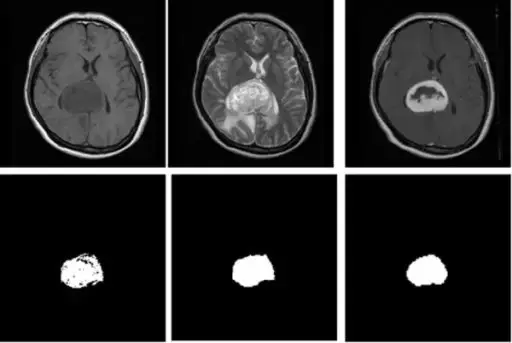
脑部肿瘤分割示例
二、难点介绍
为了更形象化的描述,这里我们用传统方法的局限分析的方式来侧面了解肿瘤分割问题的困难和产生的原因。
1. 基于阈值的分割方法
基于阈值的分割方法是图像分割中最简单、高效的方法,也是最基础的方法之一。这种方法通过对图像内设置全局或局部阈值,实现灰度图像的二值化,从而实现前背景分割,即目标区域分割。然而,在肿瘤分割问题上则存在明显问题。以皮肤癌为例,这种方式分割出来的皮肤镜图像往往不连续。究其原因,是因为皮肤镜图像的对比度低,且病变与皮肤之间的灰度值变化平滑,从而导致很难找到一个合适的阈值进行分割,致使分割失败。
灰度不均衡示例
2. 基于区域的分割方法
基于区域的分割方法是通过属性分析,将具有共同性质的部分聚类成一个个小区域。这种方法要求的是病变区域要具有相近的特征(如颜色、纹理等),且该种特征与皮肤正常区域区别明显。但是,由于皮肤病变的颜色、纹理多种多样,基于区域的分割方法同样难以实现肿瘤分割。
皮肤病变多样性示例
3. 基于边界的分割方法
基于边界的分割方法主要依据边缘来区分个体与个体,从而实现分割。这种方法尽管简单,但是往往,病变区域与正常皮肤之间的表面过度是平滑的,因此也很容易分割失败。同时,基于边缘的分割方法容易受到噪声(如毛发、皮肤纹理等)的影响,从而在早点周围产生错误的分割结果。
干扰项示例
4. 基于聚类的分割方法
机器学习和深度学习的方法与基于聚类思想的分割方法类似,其目的都是在某个高维空间下,找到一种合适的度量,使得在新的空间下,具有相同特征的像素点互相靠近,而具有不同特征的像素点之间的距离尽量远离。我们常见的分割结构(如编解码结构)就可以理解为:首先学习一个特征映射函数,将原始图像映射到高维特征空间;随后学习一个度量函数,用来增加不同类别像素点之间的距离并对相同类别的像素点聚类;最后,通过损失函数指导应设函数和度量的权重更新。

皮肤病分割结果示例
三、应用实例
肿瘤分割任务数据获取困难、难度大,因此相关的研究有很大的提升空间。无论是从数据角度进行弱监督、无监督改进,还是从算法本身实现更高精度的分割,都不失为一个不错的改进方向。
这里给出几个开源代码和其对应的论文供大家参考,作为应用的一个开端。

代码地址:https://github.com/marc-gorriz/CEAL-Medical-Image-Segmentation
论文题目:《Cost-Effective Active Learning for Melanoma Segmentation》

代码地址:https://github.com/Issam28/Brain-tumor-segmentation
论文题目:《Deep Convolutional Neural Networks Using U-Net for Automatic Brain Tumor Segmentation in Multimodal MRI Volumes》
四、总结
本文介绍了医学图像分割中的肿瘤分割问题,包括问题介绍和难点分析,并给出了应用实例。
原文链接:
分享知识、尊重原创、支持原创
作者:有三AI
链接:https://www.jianshu.com/p/5db307289f9f
来源:CSDN
作者:pengjh24
链接:https://blog.csdn.net/qq_38789531/article/details/103680999